Bật mí: Kinh nghiệm chữa viêm nha chu thực tế
Chị Nguyễn Khánh Ly (36 tuổi) đã chữa khỏi căn bệnh viêm nha chu hoàn toàn sau 3 tuần điều trị tại phòng khám nha khoa Dr.Thuần và các cộng sự. Dưới đây là chia sẻ của chị Ly về những kinh nghiệm lựa chọn phòng khám để điều trị, chi phí bỏ ra cho quá trình điều trị cho đến quá trình ăn uống hợp lý và cách vệ sinh răng miệng của chị Ly trong thời gian điều trị căn bệnh viêm nha chu.

Nguyễn Khánh Ly (36 tuổi) quê tại Ninh Bình, hiện đang sinh sống và làm việc tại Hà Nội. Sau vài năm được chữa khỏi căn bệnh viêm nha chu trong 1 lần đi khám lại để hoàn toàn yên tâm về căn bệnh này và chị Ly đã có những lời chia sẻ kinh nghiệm chữa căn bệnh viêm nha chu của mình thông qua một số câu hỏi nhanh ở dưới đây.
Tình trạng của răng trước khi đi điều trị viêm nha chu có khiến chị Ly có gặp phải khó khăn gì hay không?
Khi có người hỏi về răng của Ly có gặp phải khó khăn gì trước khi đi điều trị hay không,chị Ly cho biết:
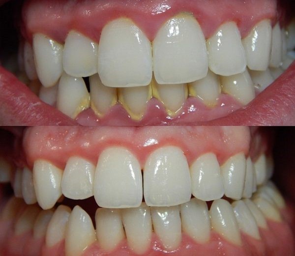
“Trước khi biết mình bị viêm nha chu thì Ly thường cảm thấy rất tự ti mỗi khi ra ngoài giao tiếp với bạn bè và người lạ. Vì răng của Ly lúc này đang gặp phải tình trạng đó là răng có dấu hiệu bị đen xám, ăn mòn chân răng và có dấu hiệu bị lung lay nhẹ dẫn đến hôi miệng.

Lúc đó Ly cho rằng cho thể do tuổi tác của mình, nên răng có thể bị hiện tượng như vậy nên nghĩ rằng chắc không sao đâu và cũng một phần là do quá bận bịu với công việc, nên Ly không có thời gian đến để thăm khám các bác sĩ để thăm khám kiểm tra tình trạng của răng.
Một thời gian sau hàm răng của Ly bắt đầu có hiện tượng răng và lợi bị sưng đau, chân răng xuất hiện mủ thì lúc này Ly mới bắt đầu tìm hiểu nguyên nhân dẫn đến hiện tượng trên và phát hiện ra đó là bệnh viêm nha chu.”
Sau khi phát hiện ra bệnh viêm nha chu và biết được sự nguy hiểm nếu như để tình trạng này kéo dài thì lúc này Ly lập tức lựa chọn cơ sở uy tín về răng – hàm – mặt để đi chữa trị.
Bệnh viêm nha chu có nguy hiểm hay không?
Câu hỏi mà chúng tôi đặt ra cho ly ở vấn đề này là: “Theo chị Ly thì căn bệnh viêm nha chu có thực sự nguy hiểm hay không” với kinh nghiệm chữa viêm nha chu chị Ly cho biết:
“ Sau khi tìm hiểu về căn bênh viêm nha chu này thì Ly mới biết rằng căn bệnh này thực sự rất nguy hiểm nếu như không đi chữa trị kịp thời. Khi Ly bị phải căn bệnh này lợi và nướu bị sưng to xảy ra tình trạng đau buốt kéo dài, mà những cơn đau liên quan đến răng thì nó luôn là cơn ác mộng kinh hoàng thậm chí đôi khi cơn đau sẽ trở nên âm ỉ, tác động đến hệ thống dây thần kinh khiến đau đầu, khó chịu.

Sau khi tìm hiểu kỹ hơn Ly còn phát hiện ra rằng căn bệnh này còn có thể khiến tiêu xương răng dẫn đến bị rụng răng ngoài ra còn tác động rất xấu tới sức khỏe như đau nhức vùng thái dương, nhiễm khuẩn huyết, hay các bệnh liên quan đến đường hô hấp và tim mạch.”
Căn bệnh này có nên tự ý điều trị viêm nha chu tại nhà hay không?
“Như Ly đã vừa nói xong thì căn bệnh này thực sự rất nguy hiểm nếu như không đi chữa trị nhanh chóng và dứt khoát thì có thể các bạn sẽ phải chịu những hậu quả nghiêm trọng cho sau này.
Và nếu như mà khi gặp phải căn bệnh này mà nghĩ rằng không nghiêm trọng mà vẫn tự chữa tại nhà có thể khiến tình trạng trầm trọng hơn, bệnh tái đi tái lại nhiều lần và đặc biệt ảnh hưởng ăn nhai của chúng ta”.
Dựa vào đâu mà chị Ly có thể lựa chọn được cơ sở uy tín để điều trị viêm nha chu
Với kinh nghiệm chữa viêm nha chu khi được đặt câu hỏi “Tại sao bạn lại lựa chọn Nha khoa Dr Thuần và Cộng sự để niềng răng?” chị Ly trả lời:
“Khi đang làm việc và sinh sống tại hà nội Ly đã từng hỏi tham khảo qua bạn bè rất nhiều phòng khám ở Hà Nội. Nhưng rào cản đối với Ly lớn nhất đó là vấn đề về tài chính khi chữa trị tại các phòng khám ở Hà Nội khá là đắt. Vậy nên, Ly đã quyết định tìm hiểu và lựa chọn phòng khám ở quê để điều trị căn bệnh này.
Vì quê của Ly ở Ninh Bình nên việc tìm kiếm các thông tin về các phòng khám sẽ khó khăn hơn vì các phòng khám ở đây họ không làm truyền thông mạnh mẽ như ở trên Hà Nội. Do đó Ly chủ yếu thông qua bạn bè, người thân ở quê và thông qua các hội nhóm tại quê để xem có những ai đã bị căn bệnh này rồi và đã từng chữa trị ở đâu tại quê. Sau khi thảm khảo và thu nhận nhiều thông tin từ mọi người thì Ly thấy được rằng là tuy mọi người lựa chọn các phòng khám khác nhau nhưng đa số sự lựa chọn nhiều nhất chính là Nha khoa Dr.Thuần. Và sau khi tìm hiểu kỹ càng về phòng khám nha khoa Dr.Thuần thì Ly thấy rằng phòng khám này đã có lịch sử rất lâu đời và các bác sĩ tại nơi đây đã có kinh nghiệm nhiều năm trong việc chữa trị căn bệnh này bên cạnh đó cơ sở vật chất và hệ thống thiết bị tại nơi đây đều rất hiện đại và cũng có mức giá điều trị khá là phù hợp với tài chính của Ly.

Để đưa ra quyết định trước khi có điều trị tại phòng khám Dr.Thuần hay không Ly đã đến thăm khám thử tại nơi đây và nhận định lại liệu cơ sở vật chất, thiết bị điều trị, trình độ chuyên môn của các bác sĩ ra sao vì Ly thấy tại đây được thăm khám và tư vấn hoàn toàn miễn phí.
Do cũng chỉ định đến thăm khám để đưa ra quyết định có điều trị tại phòng khám này hay không. Thì sau khi đến thăm khám tại nơi đây và được các bác sĩ rất nhiệt tình tư vấn, thậm chí còn đưa ra rõ luôn cho Ly cả phác đồ điều trị, chi phí còn rẻ hơn cả khi Ly đi tham khảo, với lại Ly thấy cơ sở vật chất, trang thiết bị ở đây cũng hiện đại không kém gì các phòng khám trên Hà Nội luôn. Mà khám xong bác sĩ cho Ly về suy nghĩ chứ không lôi kéo hay thúc ép Ly làm liền.
Ly cũng có trình bày do khá bận công việc và con cái trên Hà Nội nên sợ đến thăm khám định kỳ khó khăn nhưng bác sĩ có nói với Ly rằng sẽ thông báo trước cho Ly 1 tuần khi sắp đến lịch hẹn khám để Ly sắp xếp công việc về khám định kỳ.
Sau khi thăm khám xong Ly cũng thấy khá ưng cơ sở này và sau khi về trình bày với gia đình thì bố mẹ và chồng Ly cũng đồng ý cho Ly điều trị tại đây nên Ly đã quyết định chọn Nha khoa Dr Thuần để điều trị.”
Chi phí đi phải bỏ ra khi đi điều trị là bao nhiêu?
“Ly đã chữa trị căn bệnh này cách đây vài năm về trước, lúc đó tất cả chi phi phí chữa trị căn bệnh này hết tổng cộng 500 nghìn đồng. Vì thời với số tiền 500 nghìn đồng còn khá là cao với giá trị đồng tiền lúc bấy giờ và Ly cũng thấy bất ngờ khi bác sĩ báo giá.
Vì trước khi điều trị tại nơi đây, Ly cũng đã tham khảo giá cả cho việc điều trị căn bệnh này ở trên Hà Nội rồi và thấy rằng rẻ nhất cũng phải từ 700 – 1 triệu đồng và có những ca lên đến hàng chục triệu đồng. Vì bác sĩ nói do Ly đã kịp thời phát hiện ra sớm nên tình trang răng của Ly chưa đến mức phải điều trị với giá đấy cho nên Ly thấy rất yên tâm và hài lòng.”
Chế độ ăn uống trong quá trình điều trị ra sao?
Dựa vào những kinh nghiệm chữa viêm nha chu có sẵn và kể về quá trình ăn uống của mình chị Ly chia sẻ:
“Trong quá trình điều trị sau khi được các bác sĩ dặn dò về chế độ ăn uống thì trong thời gian này Ly thường xuyên ăn các loại thực phẩm mềm có giàu chất xơ, giàu omega 3, giàu vitamin và các thực phẩm chứa nhiều axit lactic bên cạnh đó Ly còn thường xuyên uống trà xanh hoặc trà đen.
Để quá trình điều trị được diễn ra một cách hiệu quả nhất Ly thường tránh và hạn chế các loại thực phẩm giàu tinh bột, đường và axit, các đồ ăn quá nóng hoặc quá lạnh , các loại hoạt có vỏ. Đặc biệt là bia, rượu, cà phê và các đồ ăn dai như trâu, bò, gà,…Tuy nhiên, đó chỉ là hạn chế chứ không phải cấm hoàn toàn. Bạn vẫn có thể ăn uống như khi không niềng răng nhưng thay vì cắn, dứt miếng to thì bạn nên cắt hoặc thái nhỏ ra trước khi ăn nếu không muốn quá trình điều trị bị kéo dài”
Bạn chăm sóc răng miệng ra sao sau khi chữa xong viêm nha chu?
Chị Ly cho biết việc chăm sóc răng miệng sau chữa xong viêm nha chu là cực kỳ cẩn thận, tỉ mỉ và làm đúng theo với những gì mà bác sĩ đã căn dặn để không bị tái phát.
“Trong quá trình đang chữa trị và sau khi chữa trị xong, Ly đã làm theo đúng các hướng dẫn mà các bác sĩ căn dặn về việc vệ sinh răng miệng. Ngoài việc vệ sinh răng miệng đúng cách, làm sạch các mảng bám thức ăn trong kẽ răng, Ly còn phải tạo chế độ ăn uống hợp lý, không được ăn nhiều đồ ngọt ban đêm mà không đánh răng. Đặc biệt không nên ăn thức ăn quá cứng, quá nóng hoặc quá lạnh và không nên hút thuốc lá cũng như sử dụng nhiều loại chất uống có gas hay cafe, bia rượu…
Nếu như các bạn không muốn bị tái phát lại thì không thể lười vệ sinh răng miệng được. Ngày trước mặc dù Ly rất lười vệ sinh răng nhưng sau khi bị dính căn bệnh này, Ly không còn có tính chủ quan với việc vệ sinh răng miệng nữa mà còn rất tích cực trong việc vệ sinh răng miệng để tránh tái phát lại.”

Kết thúc sau khoảng 3 tuần điều trị, bây giờ Ly không còn cảm thấy tự ti mỗi khi giao tiếp với mọi người nữa. Ly đưa ra lời khuyên cho các bạn rằng: “Ly khuyên thực sự, các bạn không nên xem nhẹ bệnh viêm nha chu này và nếu như thấy mình có những dấu hiệu của bệnh viêm nha chu, hãy đi thăm khám ngay để được chữa trị kịp thời tránh các hậu quả nghiêm trọng về sau. Và nếu như có đi điều trị các bạn hãy tìm hiểu thật kỹ phòng khám mà bạn định chọn để chữa trị, để biết được rằng liệu phòng khám đó có uy tín và trình độ chuyên môn của bác sĩ có tốt hay không nhé. Tránh việc ham rẻ để rồi vừa tốn tiền, vừa tốn thời gian mà lại làm tăng tình trạng tồi tệ của căn bệnh này nhé”.
Với những kinh nghiệm chữa bệnh viêm nha chu mà Ly đã chia sẻ đến với các bạn một cách rất chân thực, hi vọng phần nào đã giải đáp được phần nào những thắc mắc của các bạn về việc chữa căn bệnh viêm nha chu này. Chúc các bạn sớm có được hàm răng khỏe đẹp để tự tin với nụ cười rạng rỡ nhé.
Mọi chi tiết xin vui lòng liên hệ
NHA KHOA DR THUẦN & CỘNG SỰ
Địa chỉ:
94 Vân Giang, Thành phố Ninh Bình
Hotline 1:
02293 610 222
Hotline 2:
0912 869 838
Email:
nkdrthuan@gmail.com
Website: https://nhakhoadrthuan.com
